Is Platelet-Rich Plasma (PRP) a Valuable Addition To Physical Therapy For Partial Rotator Cuff Tears?

A recent study published in February 2026 in Knee Surgery, Sports Traumatology, Arthroscopy, provides strong evidence that adding Platelet-Rich Plasma (PRP) to a standard physical therapy regimen can significantly improve both the structural and functional recovery for symptoms related to a partial-thickness rotator cuff tear.


Study Overview

  • Objective: To compare the therapeutic efficacy of physical therapy alone against physical therapy combined with PRP for patients with articular-sided partial-thickness supraspinatus tendon tears.

  • Methodology: This was a single-center, Level II prospective randomized controlled trial involving 63 patients (aged 25–65).

    • Control Group (31 patients): Received only physical therapy.

    • PRP Group (32 patients): Received physical therapy plus two ultrasound-guided injections of PRP.

  • Measurement:

    • Researchers used Magnetic Resonance Arthrography (a type of MRI) to measure changes in tear volume compared to baseline at 5-7 months after intervention.

    • Researchers used the Visual Analogue Scale (VAS) and Constant-Murley Score (CMS) to assess pain, function, range of motion, and strength at baseline and 5-7 months after injection.


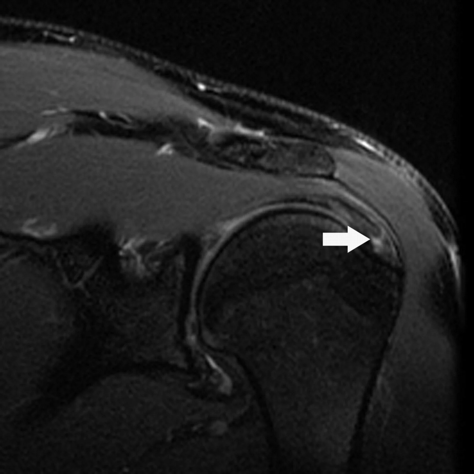
Partial-thickness articular-sided supraspinatus tendon tear on MRI. Image courtesy of Magee et al., AJR, 2006.

What is a Partial-Thickness Tear of the Supraspinatus Tendon?

To understand a partial-thickness supraspinatus tear, it helps to think of the shoulder like a complex machine held together by strong, biological "cables."

1. What is the Supraspinatus?

The shoulder has a group of four muscles and tendons called the rotator cuff. The supraspinatus is the most commonly injured tendon in this group. Think of it as the main cable responsible for helping lift the arm out to the side.

2. What is a "Partial-Thickness" Tear?

A "tear" sounds like the tendon has snapped in half, but in a partial-thickness tear, the tendon is only frayed or damaged on one side.

  • The Rope Analogy: Imagine a thick climbing rope. A "full" tear means the rope snapped completely. A "partial" tear means some of the individual fibers inside the rope have shredded or snapped, but the rope is still technically in one piece.

  • Articular-Sided: This specific study looked at "articular-sided" tears, which means the fraying is happening on the inner side of the tendon, where it faces the shoulder joint.

3. Why does it happen?

These tears usually happen for two reasons:

  • Wear and Tear: As people get older (especially over age 60), the tendons naturally get weaker.

  • Repetitive Stress: Doing the same "overhead" motions over and over—like tennis, swimming, or painting a ceiling—can slowly fray the fibers.

4. What does it feel like?

When these fibers are damaged, it causes two main problems:

  • Pain: Especially when reaching overhead or lifting things away from the body.

  • Functional Limitation: The shoulder feels weak and cannot move as well as it used to.

Key Findings of Research Study

  1. Structural healing

    • Physical therapy combined with PRP resulted in a statistically significant reduction in tear size (median volume decrease of 32.5 mm3), whereas the group that did physical therapy alone showed a nonsignificant median tear size increase (+14 mm3). This difference (p = 0.007) underscores the structural healing effects attributed to PRP.

  2. Functional improvement

    • Both groups experienced significant improvements in pain and function over 5-7 months compared to baseline.

    • The PRP plus physical therapy group achieved a significantly greater decrease in VAS pain scores (p = 0.002) compared to the group that did physical therapy alone.

    • The PRP plus physical therapy group achieved a significantly superior improvement in CMS scores (p < 0.01), indicating enhanced shoulder functionality, compared to the group that did physical therapy alone.

Limitations

As with most research studies, there are limitations which need to be acknowledged:

  • No placebo group: Without a sham injection group, placebo‐related improvements and nonspecific procedural effects cannot be fully excluded, particularly for patient‐reported outcomes such as pain and function.

  • No longer-term follow-up: Study outcomes were measured to approximately 6 months after intervention. Further data collection to 2 years post-procedure will be helpful to determine the durability of outcomes.

  • Baseline variables: Certain variables such as occupational workload were not recorded, which may have influenced clinical outcomes.

  • PRP composition: The composition of PRP (platelet counts, growth factor concentrations) was not standardized.

Conclusion and Significance

The researchers concluded that the combination of PRP and physical therapy is more effective than physical therapy alone for treating articular-sided partial rotator cuff tears. The combination of PRP and physical therapy appears to offer a synergistic effect where the physical therapy restores movement and the PRP helps "bridge" the physical gap in the tear.

Appointment

Dr. Verma provides treatment for numerous orthopaedic and sports medicine conditions of the shoulder, elbow, wrist, hand, hip, knee, ankle and foot.  Dr. Verma has specific expertise in ultrasound-guided procedures including platelet-rich plasma (PRP) injections for the treatment of chronic tendon problems and osteoarthritis.  If you are a patient interested in exploring treatment for your condition, please schedule a consultation with Dr. Verma to discuss the available options. 

References

  1. Demiral MF, Çankaya BY, Paksoy AE, et al. Addition of platelet-rich plasma to physiotherapy reduces tear volume and іmproves functional outcomes in articular-sided partial supraspinatus tendon tears. Knee Surg Sports Traumatol Arthrosc. Published online February 27, 2026. doi:10.1002/ksa.70370

  2. Magee T, Williams D. 3.0-T MRI of the supraspinatus tendon. AJR Am J Roentgenol. 2006;187(4):881-886. doi:10.2214/AJR.05.1047

Next
Next

Achilles Tendon Pain: How a Quick Procedure Helps Patients Get Back on Their Feet