Orthopaedics & Sports Medicine in Chicago
Minimally Invasive Solutions for Active People and Athletes
Welcome.
I’m Dr Rajiv Verma.
I am a sports medicine physician located in Chicago’s northern suburbs at Endeavor Health (formerly known as NorthShore University HealthSystem). My practice focuses on the care of active people and athletes, both adults and youth. I created this website to share my background, experiences, and approach to evidence-based patient care.
Treatments & Services
Active Adults
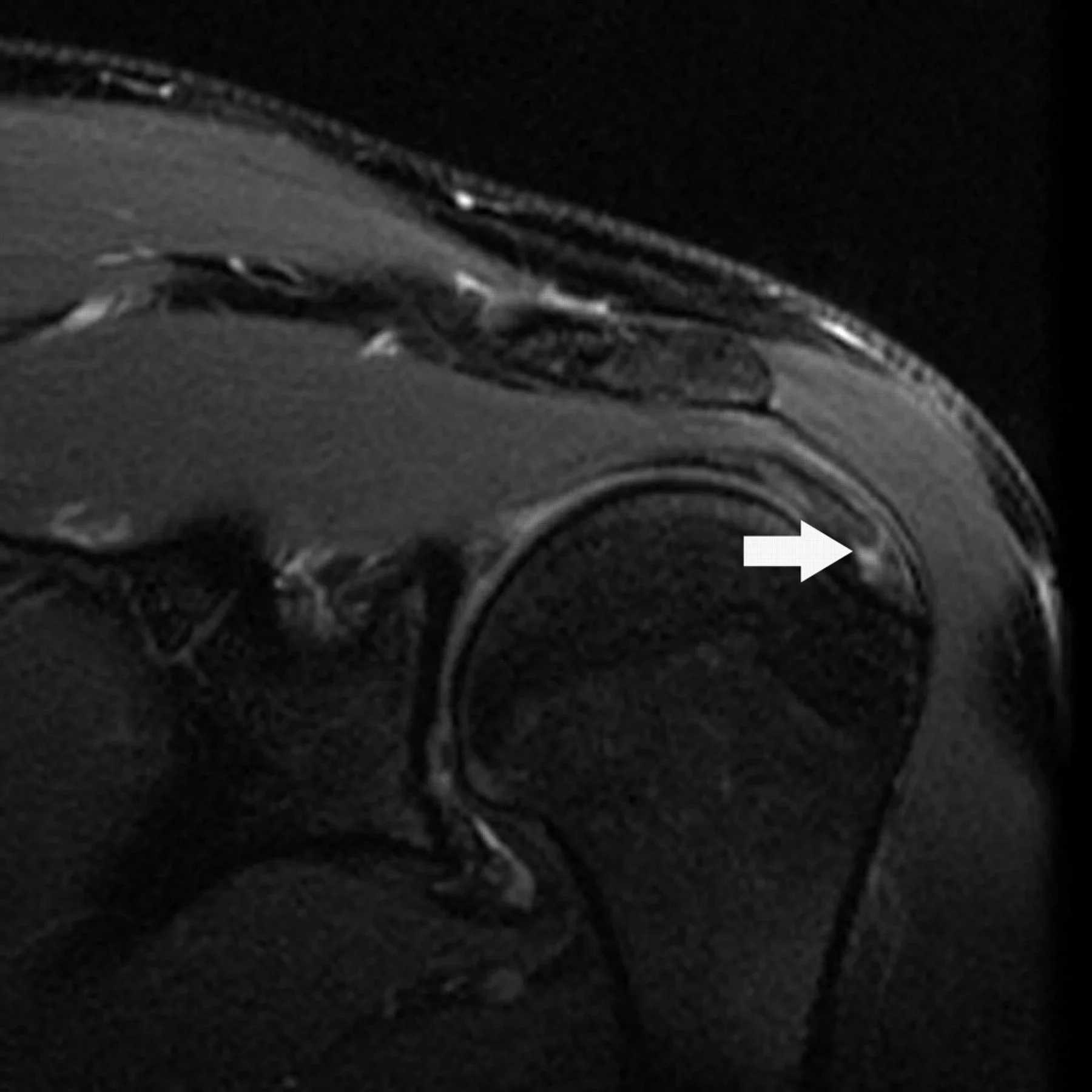
Dr. Verma specializes in minimally invasive solutions for osteoarthritis and chronic tendon problems. Specific procedures include diagnostic musculoskeletal ultrasound, ultrasound-guided injections, Tenex, and platelet-rich plasma (PRP). Furthermore, Dr. Verma focuses on sport-specific and goal-oriented care for active adults and athletes.
Youth Athletes
The bodies of youth athletes are different than bodies of adult athletes. There are unique considerations in terms of anatomy that can predispose young athletes to injuries that may not necessarily occur in adults. Identifying the specific injuries is important, as the outcome of these injuries can impact not only participation in sports but overall quality of life as well.
Tennis Players
Dr. Verma provides care for junior and adult tennis players as director of the Endeavor Health Tennis Medicine Program. Dr. Verma has experience treating professional tennis players as an event physician for the 2021 Women’s Tennis Association (WTA) Chicago Tennis Festival 125, 250, and 500 events and also 2023 WTA Chicago Women’s Open 125 event.
Patient Experiences
-
Very kind, compassionate, listened well and provided options for treatment in terms easy to understand. Was very gentle and explained what he was going to do during the injections he gave.
MARCH 2026
-
Excellent bedside manner, very patient, explained everything thoroughly, and made my daughter understand treatment options and next steps.
MARCH 2026
-
Dr. Verma was outstanding. I feel very blessed to have had him as my doctor. He is very passionate, knowledgable, and concerned about your health. He is truly an excellent physician. Thank you Dr. Verma for your time and support.
FEBRUARY 2026
-
Both the Dr and staff were excellent. Dr was well versed in my problem and spent time explaining to me what he felt was the best procedure for me. I supported his plan for my recovery.
FEBRUARY 2026
-
Very caring and knowledgeable. Ensures that I understand treatment options available to me. Takes his time to explain treatments.
JANUARY 2026
-
Dr. Verma has the best bedside manner I've ever experienced as a patient and this is my 14th year working in healthcare
JANUARY 2026
-
I always recommend this team to all my friends! You are lucky to have Dr. Verma
JANUARY 2026
-
Dr Verma has always been professional, friendly & honest evaluating whatever issue I bring. I love his bedside manner & recommend him often.
NOVEMBER 2025
-
DR VERMA is excellent. He has treated me for 2 different hip tendon procedures and my recent elbow problem. He explains everything and answers all of my questions regarding the problem and potential treatments.
NOVEMBER 2025
-
Dr. Verma always practices the highest standard of care, delivered with professionalism and kindness.
NOVEMBER 2025
-
I appreciated how we had face to face contact throughout the visit, how he listened, asked what I wanted from the visit and clearly explained the issue and the treatment options.
NOVEMBER 2025
-
Dr. Verma and his staff were very good in explaining the problem with my knee and my hip and recommended the treatment options available to me. They scheduled treatment that met my schedule. It was a great experience.
NOVEMBER 2025
-
Good communication skills as well as medical knowledge and skills. I am very satisfied and would recommend this doctor and his assistant.
OCTOBER 2025
-
Dr Verma is wonderful to work with. He explains procedures in detail. He is very knowledgeable in his field. I would highly recommend him to my friends & family.
OCTOBER 2025
-
Dr. Verma is kind and approachable. He always takes the time to listen. He has a kind demeanor which is a gift when you worry about what the Doctor might say when you are worried about what might be wrong. He is a treasure!
SEPTEMBER 2025
-
I like they way he explains what to expect before his exam as well as discuss treatment and all possibilities. The student that was working with him has a great teacher as well as a great example of how to treat and care for patients
AUGUST 2025
-
Dr. Verma is one of the most caring and compassionate doctors I've ever had. It's so important to him that his patients truly understand their ailments and the best means to make it better. I would highly recommend Dr. Verma!!!
AUGUST 2025
-
Doctor Verma is the most concerned doctor I have met. His doctoring is low keyed and terrific. I like him a lot .
AUGUST 2025
-
Great. Dr. Rajiv Verma is an excellent doctor. I see results already in no time of taking my medication. I feel 100% confidence with my knee problem improving. He is amazing.
JULY 2025
-
He was very attentive to me as human being in front of him. I found that his focus on me and my problem to be amazing.
AUGUST 2024
-
Caring and listened to my concerns. Very important to be heard when you get older.
AUGUST 2024
-
He takes time to listen and address my concerns. He explains each procedure thoroughly, including risks and benefits.
AUGUST 2024
-
Dr. Verma is extremely knowledgeable and kind. He listened to my concerns and explained everything in detail. I trust his expertise and judgement.
JULY 2024
-
Dr Verma's confident demeanor put me at ease about my concern over pain I was having in my hip which is post THA approximately 1.5 yrs. He was very thorough, explained everything well and made sure I had no other questions or concerns. He is a real asset to Endeavor and I am very glad he was available at the walk-in Ortho clinic Thank You!
JULY 2024
-
Dr. Verma has been very kind and informative. I was very happy with the appointments I had leading up to my surgery, the surgery itself and the post op care.
JUNE 2024
-
He accurately diagnosed me and set me up with a treatment plan that worked. He answered all my questions and explained everything adequately
JUNE 2024
-
He was excellent. Asked questions and took his time to learn about my condition. Explained my condition clearly and made sure that I was fully informed on future treatment plan.
JUNE 2024
-
I really appreciate dr. V... He has a very good touch and explains his procedures very well. He gets 5stars in my book
JUNE 2024
-
Dr Verma is always helpful and does a good job with laying out options for next steps when it's time to make decisions.
JUNE 2024
-
Dr. Verma is an excellent physician who is very caring about my health condition and mobility/pain concerns. He patiently listens to everything I describe, discusses possible options and advises me on the proper treatment path forward. I plan to continue my treatments with him.
MAY 2024
-
Dr. Verma was extremely personable, helpful, relaxed and confident. He pinpointed my issue and suggested a path of treatment I am excited about. I would highly recommend Dr. Verma.
MAY 2024
-
I was very pleased with Dr. Verma. Very friendly and informative. Explained everything needed to me, and asked multiple times if I had questions along the way. I felt like together we came up with the best course of treatment for me. Was also pleased with [support staff] and her answering my questions. Everyone I encountered- reception, nurse, x-ray tech was friendly and efficient.
MAY 2024
-
This is the 2nd time I have used this practice. The doctor was kind and knowledgeable and explained things in a way which was easy to understand. The staff was great as well.
APRIL 2024
-
Dr. Verma was the kindest doctor that I have ever seen. He was attentive , listened to the hurt that I am experiencing, and had a hands on approach.. He was very informative and I just plain liked him.
APRIL 2024
-
Dr Verma is very courteous and patient with the explanations I have requested.
MARCH 2024
-
Dr Verma is always totally focused on me and shows kindness and concern.
FEBRUARY 2024
-
Excellent, kind, compassionate, empathetic, great communication on all levels!!!
FEBRUARY 2024
-
Terrific! Got an appointment same day, dr was running early, received great care. Very impressed!
JANUARY 2024
-
I appreciated the excellent care and kindness I received from Dr. Verma. He took time and answered all my questions and explained my condition and the treatment recommendations in great detail.
JANUARY 2024
-
Dr. Verma spoke clearly and explained the condition of the shoulder and the options. He was very calm and easy to understand.
DECEMBER 2023
-
This is the best doctor have had in many many years. He is skilled. Always takes time to talk, explain, discuss, etc. Compassionate and kind.
OCTOBER 2023
-
Took the time to explain everything to my son during his visit. Made him feel comfortable through the whole visit.
OCTOBER 2023
-
Dr Verma is excellent! He is very kind, thorough, provides excellent education, answers questions, and provides the absolute best care!
SEPTEMBER 2023
-
Dr. Verma is always kind and professional. He explains his diagnosis, why it occurred, and next steps. He included me in deciding next steps as well.
SEPTEMBER 2023
-
Dr. Verma has good listening and diagnostic skills. He explained well what he thought the problem was and described several treatment options. His treatment skills (injection) are excellent.
SEPTEMBER 2023
-
Dr. Verma listened and read all my prep notes, Eliminated non-applicable steps and diagnosed and determined logical course of action for my issues.
SEPTEMBER 2023
-
I recommended Dr. Verma to everyone! He's so wonderful. He always takes his time with me, never talks down to me, answers all of my questions, takes all of my concerns seriously, and makes sure that I'm involved in decisions about my care. I have a tough diagnosis that has been hard on me emotionally, so being treated with respect and care by Dr. Verma means a lot and has made a difference. I wish every doctor were like him.
AUGUST 2023
-
Dr Verma was very attentive to my situation and clear in his communication.
AUGUST 2023
-
Dr Verma was very thorough in explaining my problem and solutions.
AUGUST 2023
-
Dr. Verma (as I stated earlier) was incredible. He listened to me, took the time to talk, was very respectful, and was very thorough. He suggested a course of action that made sense and was the least risky or invasive. He also asked my opinion and took my suggestions seriously. Thank you! :)
AUGUST 2023
-
Dr. Verma was terrific! His explanation and exam were thorough. He took his time and made certain I understood everything. I have not been treated this well by a doctor in years.
JULY 2023
-
Dr Verma is a fantastic physician. I am so glad I found him
JULY 2023
-
The doctor and nurse kept me informed every step of the way. Not only did they verbally inform me but they showed me on my images and what we might have to do in the future.
MAY 2023
-
Dr. Verma is easy to talk to, he listens, he's very kind and he's smart.
MAY 2023
-
The doctor was perfect in providing info about my hip pain and treatment options. I felt very comfortable and confident in his knowledge.
APRIL 2023
-
Treated with respect from beginning until end. VERY friendly and knowledgeable staff.
MARCH 2023
-
Dr Verma is excellent. Went through numerous options. Questions and concerns were addressed. Calm demeanor.
FEBRUARY 2023
-
I have an ongoing issue that we continue to address as symptoms/pain occur. Discussion is always thorough of option, potential effectiveness and risks.
FEBRUARY 2023
-
Very good experience. Nice doctor. Answered all my questions. Would contact him again
JANUARY 2023
-
Dr. Verma was compassionate and very professional!
DECEMBER 2022
-
Dr. Verma is a thoughtful, competent and empathetic physician whom I would refer over and over again.
DECEMBER 2022
-
I am so grateful I was able to get care from Dr. Verma ! What an asset he is to your staff!
DECEMBER 2022
-
Dr Verma explained my problem very clearly as well as the treatment. I never felt rushed, even tho' I didn't have an appointment.
APRIL 2021
-
Dr. V was very thoughtful and precise in explaining the problem. Gave clear (and illustrated) descriptions. Thorough, understandable, but not patronizing. Helpful assessment.
MARCH 2021
-
Dr. Verma was thorough and thoughtful. I appreciated his discussion of whether imaging would change management or not, and therefore whether it should be pursued.
MARCH 2021
-
Dr. Verma was awesome, informative and included me in the decision on when the best time would be for me to return to work
FEBRUARY 2021
-
Dr Verma was great. He listened to everything I had to say and came up with a great treatment plan.
JANUARY 2021